頭部外傷 外傷性脳室出血
外傷性脳室出血とは、「頭部に外傷を受けたことによって脳室に出血したもの」です。
脳室とは、「脳の中心部にある空洞」のことです。
脳の中には、いくつかの脳室があります。どの脳室も、脳脊髄液で満たされています。
脳室と脳室の間は非常に狭い通路でつながっています。脳脊髄液は、その狭い通路を通って脳室を順番に流れています。
脳室内に出血が起こると、この狭い通路が詰まってしまいます。脳脊髄液の通り道がふさがってしまうのです。
このため、行き場の無くなった脳脊髄液が上流の脳室にたまります。
脳脊髄液がたまると、キャパオーバーとなった脳室は急速に拡大します。
脳室が拡大することにより、周囲の脳は圧迫されます。このように急速に脳室が拡大した状態を、「急性水頭症」と呼びます。
ゆっくりと脳室が大きくなった場合は、「正常圧水頭症」と診断されます。
急性水頭症では、脳室の拡大のために頭蓋骨の内圧が高まり、激しい頭痛、嘔吐、意識障害などが認められます。
さらに、脳室の拡大による圧迫によって「脳ヘルニア」の状態にまで進行することがあります。
脳ヘルニアの状態に至ると、死亡のリスクが高まります。
急性水頭症に対しては、緊急手術が行われます。「脳室ドレナージ術」と呼ばれる方法です。
脳室ドレナージ術では、まず局所麻酔をかけて、頭蓋骨に小さな孔を開けます。
次に脳室にチューブを挿入し、脳脊髄液と脳室内の出血を取り除きます。
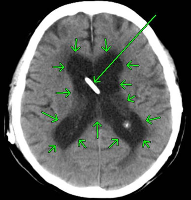
それでは、外傷性脳室出血の画像を見てみましょう。
中央部に、白く細長い像が見えます。これは「脳室内出血を抜き取るドレーンチューブ」です。
当事務所には、年間約200件にのぼる交通事故・後遺障害のご相談が寄せられます。
多くは福岡県内の方ですが、県外からのご相談者もいらっしゃいます。





