骨盤骨折の重症例
この項目では、骨盤骨折の中でも重症なケースについて解説します。
(1)ストラドル骨折(straddle骨折)、マルゲーニュ骨折(Malgaigne骨折)
骨盤の内側には、骨盤輪(こつばんりん)と呼ばれる輪があります。この骨盤輪は、一筆書きに連続しており、骨盤を安定させるという役割を果たしています。
下記のイラストを見てください。骨盤を正面から描いた図です。
青い丸が、骨盤輪と呼ばれるリングです。
この骨盤輪が損傷される骨折のことを、「ストラドル骨折(straddle骨折)」や「マルゲーニュ骨折(Malgaigne骨折)」と呼びます。
ストラドル骨折(straddle骨折)とは、「恥骨(ちこつ)と坐骨(ざこつ)を骨折することによって、骨盤輪の連続性が損なわれる」という症状です。
ストラドル骨折(straddle骨折)
マルゲーニュ骨折(Malgaigne骨折)も、骨盤骨折の一種です。骨折によって骨が垂直方向にずれてしまい、骨盤がぐらついた状態となります。
マルゲーニュ骨折(Malgaigne骨折)は、「骨盤複垂直骨折」とも呼ばれます。「骨盤複垂直骨折」とは、骨盤輪を形成している部位が2ヵ所以上骨折することです。複数ヵ所を骨折しているため、骨盤の安定性が損なわれます。
下記のイラストを見てください。骨板輪の2ヵ所にヒビが入っています。このような骨折が「骨盤複垂直骨折」と呼ばれる状態です。
ストラドル骨折(straddle骨折)やマルゲーニュ骨折(Malgaigne骨折)によって、骨が正常な位置からずれてしまった場合は、創外固定器を用いて整復固定術を実施します。
なお、女性がストラドル骨折(straddle骨折)やマルゲーニュ骨折(Malgaigne骨折)を発症した場合は、婦人科で精査しておく必要があります。女性の場合は、ストラドル骨折(straddle骨折)やマルゲーニュ骨折(Malgaigne骨折)によって正常分娩が不可能となり、帝王切開が余儀なくされる可能性があるからです。
このように正常分娩が不可能となったケースは、後遺障害等級11級10号の対象となります。後遺障害等級の認定を受けることができれば、出産が可能な年数について逸失利益を請求することができます。
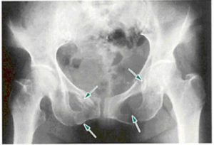
(2)恥骨結合離開(ちこつけつごうりかい)
恥骨結合(ちこつけつごう)とは、左右の恥骨がつながっている部分です。恥骨結合は、硝子軟骨(しょうしなんこつ)で形成されています。硝子軟骨とは、コラーゲン状の柔らかい組織です。
この恥骨結合がゆるんで隙間(すきま)ができる症状のことを、「恥骨結合離開(ちこつけつごうりかい)」と呼びます。
下記のイラストを見てください。①の部位が「恥骨結合」で、この部分に隙間が生じた状態のことを「恥骨結合離開」と呼びます。
(3)仙腸関節(せんちょうかんせつ)の脱臼
仙腸関節(せんちょうかんせつ)とは、左右の腸骨(ちょうこつ)と仙骨(せんこつ)をつなぐ関節のことです。上のイラストを見てください。②の部分が「仙腸関節」です。
この関節を脱臼することを、「仙腸関節脱臼(せんちょうかんせつだっきゅう)」と呼びます。
脱臼とは、「関節が外れて、骨が正常な位置からずれてしまった状態」のことです。骨折とは異なり、骨自体に損傷はありません。
(4)骨盤骨折の重症ケースの治療
恥骨結合離開や仙腸関節脱臼のケースでは、複合骨折をしていることが多いといわれています。骨盤は複数の骨が結合している組織のため、大きな直達外力が作用すると、ひとたまりもなく複合骨折をするリスクがあります。
具体的には、大腿骨頭(だいたいこっとう)の脱臼を伴う場合や、寛骨臼(かんこつきゅう)の骨折を伴う場合があります。寛骨臼とは、骨盤の外側にある部位です。大腿骨頭に接しており、股関節を形成しています。
つまり「寛骨臼の骨折」とは、股関節(こかんせつ)の関節内の骨折です。股関節は、寛骨臼と大腿骨頭(だいたいこっとう)の2つの関節面が接する構造をしています。この関節の内部を骨折することを、「寛骨臼骨折」と呼びます。
寛骨臼骨折も骨盤輪骨折も、XP(レントゲン)によって診断を行います。しかし、骨盤の形状は非常に複雑であるため、XP(レントゲン)のみでは骨折の形状を性格に把握できないことがあります。
このため、骨盤を骨折した場合はXP(レントゲン)だけでなく、CT(スキャン)による診断を合わせて行うことが重要となります。CT(スキャン)によって骨折の位置を詳しく調べることができれば、治療方針の決定に有用となる可能性があります。
また、血管損傷や膀胱損傷などの合併損傷を診断するためには、造影CT(スキャン)による検査を行う必要があります。
寛骨臼を骨折した場合、骨頭の置換術が実施されます。寛骨臼の損傷が激しいケースでは、人工関節の置換術に発展することがあります。
しかし寛骨臼骨折の手術は難度が高く、大量出血などのリスクを伴います。損傷が激しい場合は、医師が手術不可能と判断することもあります。
(5)骨盤骨折の重症ケースの後遺障害
骨盤骨折の中でも重症なケースに共通する後遺障害として、①骨盤骨の変形 ②股関節の可動域制限(かどういきせいげん) ③下肢(かし)の短縮 ④疼痛(とうつう)の4種類があります。
①骨盤骨の変形
交通事故の損傷によって骨盤骨に著しい変形が残った場合は、後遺障害等級12級5号の対象となります。骨盤が変形していることが目視で確認できる場合は、後遺障害等級12級に認定される可能性が高くなります。
骨盤が変形していることを立証する資料としては、3DCT(スキャン)が有効です。骨盤の形状は非常に複雑であるため、XP(レントゲン)の資料のみでは後遺障害の資料として不十分な可能性があります。
現時点でお手元にXP(レントゲン)の資料しかない場合であっても、ご心配することはありません。治療が終了している方であっても、今から3DCT(スキャン)を撮影すれば間に合う可能性があります。
なお、症状によってはXP(レントゲン)の資料のみで十分な場合もあります。お手持ちの資料が示談手続きの資料として十分であるかどうかは、症状によって異なります。ご自身の症状に即した具体的なアドバイスをお聞きしたいという方は、当事務所までお気軽にご相談ください。
ご相談の際に診断書(カルテ)やXP(レントゲン)などの資料を持ってきていただければ、当事務所の弁護士が責任を持って資料を精査したうえで適切な認定結果を得ることができるようにアドバイスをいたします。
②股関節(こかんせつ)の可動域制限(かどういきせいげん)
「可動域制限」とは、股関節が動く範囲が制限されてしまうことです。このように関節が自由に動かなくなる後遺症のことを、「機能障害(きのうしょうがい)」と呼びます。
股関節に機能障害が生じた場合は、その程度によって後遺障害の等級が変わります。
股関節の機能が完全に失われた場合は、後遺障害等級8級7号の対象となります。関節の機能が完全には失われていないものの、障害の程度が著しい場合は、後遺障害等級10級11号の対象となります。障害が比較的軽微である場合は、後遺障害等級12級7号の対象となります。
可動域制限(かどういきせいげん)を後遺障害として申請する際には、股関節の関節の動く角度を計測して、その角度を後遺障害診断書に記載します。
しかし、症状によっては参考運動である「外旋」「内旋」にも注意を向ける必要があります。これらの計測の結果が後遺障害の審査の際に有利となる場合があるからです。
通常は、病院で股関節の角度を計測してもらいます。股関節の主要運動は、「屈曲」「伸展」「外転」「内転」です。多くの病院では、この4種類を計測するだけで終了となります。
病院での計測は、医学的な観点によって行われますが、法律的な観点によって行われることはありません。このため、股関節の可動域制限を後遺障害として申請する場合は、病院で計測を行う前に、交通事故に精通した弁護士にご依頼されることをお勧めいたします。
交通事故に精通した弁護士にご相談していただければ、後遺障害診断書を作成する際のポイントについて法律的な観点からのアドバイスが可能となります。
当事務所では、日頃から交通事故の紛争解決に力を入れており、交通事故の示談手続きについて豊富な実績と経験を積んでおります。股関節の機能障害でお悩みの方は、いつでもお気軽にご相談ください。
③下肢(かし)の短縮
骨盤を損傷したことによって下肢(かし)が短縮した場合は、後遺障害の対象となります。下肢とは「脚」のことです。
後遺障害等級は、下肢が短縮した度合いによって決定されます。
下肢が1センチ以上短縮した場合は、後遺障害等級13級8号の対象となります。3センチ以上短縮した場合は、後遺障害等級10級8号の対象となります。5センチ以上短縮した場合は、後遺障害等級8級5号の対象となります。
骨盤骨の歪みによる下肢の短縮は、ONISというソフトを駆使して左右の脚の長さが異なることを具体的に立証します。
なお、大腿骨(だいたいこつ)や下腿骨(かたいこつ)が短縮していないケースであっても、後遺障害として認定される可能性があります。骨盤骨に歪み(ゆがみ)が生じているケースについては、その歪みによって下肢が短縮していることを立証することができれば、後遺障害に認定される可能性があります。
ただし、このような立証は医学的にも法律的にも難しい手続きとなります。骨盤の歪みによる下肢の短縮でお悩みの方は、交通事故に精通した弁護士にご相談されることをお勧めいたします。
④疼痛(とうつう)
交通事故でケガをした部位に痛みが残った場合は、痛みそのものを理由として後遺障害を申請することができます。
痛みや痺れ(しびれ)などの神経症状は、後遺障害等級14級9号に認定される可能性があります。痛みが激しい場合は、後遺障害等級12級13号の対象となります。
痛みを後遺障害として申請する場合は、骨折部の3DCT(スキャン)やXP(レントゲン)を撮影して骨癒合の状況を立証する必要があります。
3DCT(スキャン)やXP(レントゲン)によって症状を十分に説明することができない場合であっても、MRIによって症状を立証することができる場合があります。
XP(レントゲン)やCT(スキャン)で立証するかMRIで立証するかは、被害者の症状によってケースバイケースです。症状によっては、XP(レントゲン)が有利な証拠となる場合もあれば、MRIが有用な証拠となる場合もあります。
適切な資料を提出しなければ、適切な後遺障害等級の認定を受けることができません。適切な認定を受けることができなければ、適切な示談金を受け取ることはできません。
後遺障害等級として何級に認定されるかによって、示談金は大きく変わります。個別事案によって金額は異なりますが、弁護士が交渉した場合は、後遺障害等級14級のケースではおよそ250万~300万円程度、12級であればおよそ500万~1,000万円程度の賠償金額となる可能性があります。
後遺障害としてどのような申請を行うべきかは、被害者の症状に即して臨機応変に判断しなければいけません。当事務所にご相談していただければ、症状を具体的に分析したうえで、お客様の状況に即して法律的な観点からアドバイスいたします。
アジア総合法律事務所では、日頃から交通事故の解決に力を入れており、数多くの交通事故・後遺障害の案件を取り扱った実績があります。福岡を始め、九州、全国から交通事故のご相談やご依頼をいただいております。骨盤骨折の後遺症でお悩みの方は、当事務所までお気軽にご連絡ください。
当事務所には、年間約200件にのぼる交通事故・後遺障害のご相談が寄せられます。
多くは福岡県内の方ですが、県外からのご相談者もいらっしゃいます。














