頭部外傷 脳挫傷+頭蓋底骨折+急性硬膜下血腫+外傷性くも膜下出血+びまん性軸索損傷
交通事故により頭部に外傷を負うと、様々な症状が合併して現れることがあります。
頭部の組織は密接に関係しているため、複数の症状を併発することは珍しくありません。
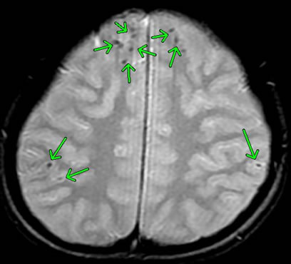
下記の画像を見てください。
交通事故によって「脳挫傷」「頭蓋底骨折」「急性硬膜下血腫」「外傷性くも膜下出血」「びまん性軸索損傷」を発症した方の画像です。
脳挫傷は、「外傷による局所の脳組織の挫滅、衝撃により組織が砕けるような損傷」のことです。
その出血が脳の表面にたまると、「急性硬膜下血腫(きゅうせいこうまくかけっしゅ)」となります。
さらに出血が広がり、硬膜の内側にある薄いくも膜と脳の間に溜まると、「外傷性くも膜下出血」と診断されます。
脳表面の点状出血が広がると、「びまん性軸索損傷(びまんせいじくさくそんしょう)」となります。
これらの傷病名は、どれも出血の拡がりを示しています。
脳の組織が密接に関連しているため、連鎖して複数の病状を発症した状態です。
複数の症状を併発して深刻な状態であるため、意識喪失の期間が2ヵ月以上にわたることもあります。
当事務所には、年間約200件にのぼる交通事故・後遺障害のご相談が寄せられます。
多くは福岡県内の方ですが、県外からのご相談者もいらっしゃいます。











